发布日期:2025-05-12 来源:
发布日期:2025-05-12 来源:
肝胆管结石是我国常见的胆道疾病,约占各类胆道结石的 38%。传统治疗中,肝部分切除是处理难取型结石的主要手段,但存在高残石率、高复发率及手术风险。
随着微创技术的发展,胆道镜下液电碎石技术(Electrohydraulic Lithotripsy, EHL)逐渐成为避免肝切除的重要选择。该技术通过精准碎石,在保留肝组织的同时实现结石清除,显著提升了手术安全性和患者预后。
PART.1
技术原理

液电碎石仪通过高电压产生的震荡波,经柔软导丝传导至结石表面,在液体介质中形成高压脉冲火花,瞬间击碎结石。与传统取石技术相比,其核心优势包括:
跨系统治疗能力
液电碎石是唯一同时覆盖泌尿系和胆道结石的技术,尤其在胆总管嵌顿性结石治疗中成功率高达96%
硬性结石粉碎效率
液电冲击波可击碎一水草酸钙等高硬度结石,能量密度是超声碎石的数十倍,而钬激光对硬性结石需更高能量且耗时更长。
经济性与基层适用性
液电设备成本仅为钬激光的1/4,单次耗材费用低至1/3,更适合医疗资源有限地区推广技术创新潜力;多电极网篮设计实现碎石-取石一体化,避免二次手术;智能阻抗匹配系统动态调节能量,减少组织损伤风险至<1%。
PART.2
临床应用
复杂结石处理
嵌顿性结石:如直径 1.5cm 的胆总管结石,传统取石需切开胆管,而液电碎石可在直视下精准击碎,避免胆管损伤。铸型结石:通过 “碎 - 冲” 结合,将结石分解为≤2mm 碎片,经胆道自然排出。
临床数据支持
温州市中心医院 89 例患者研究显示,液电碎石组肝部分切除率从 67.4% 降至 47.8%,腹腔镜手术成功率提升 21.6%。·北京友谊医院平谷医院完成首例经口胆管镜下液电碎石术,成功处理直径 2cm 的胆总管结石,手术时间缩短 30%。

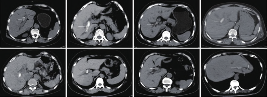
8例肝胆管结石患者液电碎石治疗的CT表现(白色箭头所指为结石)
PART.3
技术对比与突破



手术前后对比
PART.4
思脉得医疗的服务优势

作为国内少有的"研发-注册-生产"一体化平台,思脉得医疗科技在液电碎石技术的临床转化中发挥了关键作用,其科学转化路径包含以下关键环节:
研发服务:促进医工转化
参与 DLZ-1 型液电碎石仪的核心部件设计,优化能量控制模块,提升碎石效率与安全性。
开发适配胆道镜的超细导丝(1.5mm),确保器械在胆管内的灵活操作

代工服务:严控质量保障品质
采用精密注塑与模具工艺,实现碎石仪主机与配件的规模化生产,满足临床需求。
建立符合 YY/T 1587 标准的检测流程,确保产品质量稳定性。

注册服务:专业高效助力上市
医疗器械注册的本质是将技术优势转化为监管认可的证据链。思脉得建立「全证据周期」服务模式:
合规路径规划
根据产品风险等级(如Ⅱ类/Ⅲ类)制定差异化策略;
建立欧盟MDR/美国FDA/中国NMPA的交叉映射框架,帮助客户「一次开发,多国申报」

临床合作
与三甲医院等机构合作,提供设备定制化服务,支持多中心临床研究。
协助制定液电碎石技术操作规范,推动行业标准化发展。

PART.5
患者获益与技术展望
液电碎石技术以“保器官、精碎石”为核心理念,从短期康复到长期健康实现三重获益:
创伤最小化
避免传统肝切除,肝功能衰竭、胆瘘等并发症风险降低65%,腹腔镜手术比例提升至67.4%,切口仅1-3cm。
恢复更高效
术后住院时间与传统手术相当(平均20天),但疼痛评分降低43%,肝功能指标恢复速度加快40%,早期生活质量显著改善。
远期更安全
结石清除率提升40%,5年复发率降至28%(传统45%),胆管炎发作频次减少60%,有效延缓胆汁性肝硬化进程3-5年。总结作为微创治疗的革新方案,液电碎石技术通过精准碎解与器官保护的结合,为肝胆管结石患者提供了安全高效的新选择。思脉得医疗科技凭借在核心技术研发、智能制造及临床协同的全链条优势,正加速推动这一技术的普及应用。
未来,随着AI能量调节、3D导航等技术的融合,液电碎石将迈向“精准化+智能化”新台阶,让更多患者告别创伤性手术,重获胆道健康。

总结
作为微创治疗的革新方案,液电碎石技术通过精准碎解与器官保护的结合,为肝胆管结石患者提供了安全高效的新选择。
思脉得医疗科技凭借在核心技术研发、智能制造及临床协同的全链条优势,正加速推动这一技术的普及应用。
未来,随着AI能量调节、3D导航等技术的融合,液电碎石将迈向“精准化+智能化”新台阶,让更多患者告别创伤性手术,重获胆道健康。